عادي

«أحماض أمينية» لعلاج السكري

19:44 مساء
قراءة دقيقة واحدة
1

إعداد: مصطفى الزعبي

أظهر «الببتيد» المسمى «MOTS-c»، وهو سلسلة «أحماض أمينية» لتكوين البروتينات، علاجاً واعداً للسكري من النوع الأول، عبر تنظيمه لجهاز المناعة، ما يسهم في علاجات لمرض السكري من النوع الأول وأمراض المناعة الذاتية الأخرى، وفقاً لاختبارات جديدة أجرتها جامعتا جنوب كاليفورنيا وسيؤول على الخلايا البشرية والحيوانية.

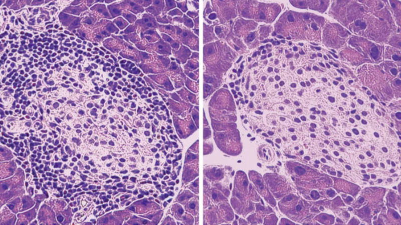
ويبدأ مرض السكري من النوع الأول عندما تهاجم الجهاز المناعي للمريض عن طريق الخطأ خلايا «بيتا» المنتجة للأنسولين في البنكرياس، ومع انخفاض الأنسولين في مجرى الدم، يواجه الجسم مشكلة في تحويل الجلوكوز إلى طاقة للخلايا، مما يتطلب من المرضى إعطاء الأنسولين يدوياً حسب الحاجة.

وفي الدراسة الجديدة، وجد العلماء المفتاح الرئيسي للعلاج «MOTS-c» الذي يعمل على دعم الخلايا التائية التنظيمية، المكلفة بمعرفة الفرق بين خلايا الجسم ومسببات الأمراض الغريبة. وهذا يقلل من كمية الخلايا التائية القاتلة التي يتم تنشيطها لمهاجمة الخلايا المنتجة للأنسولين. وأجرى العلماء التجارب على فئران حقنت بمرض السكري ثم عالجوها بالحقن بالببتيد ما أسهم في منع تدمير خلايا «بيتا» وحافظ على الفئران من الإصابة بفرط سكر الدم.

وكشف العلماء أن مرضى السكري من النوع الأول لديهم مستويات أقل بكثير من «MOTS-c» المنتشرة في دمائهم مقارنة بغير مرضى السكري. وفي اختبار متابعة على الخلايا البشرية قللت علاجات «الببتيد» من تنشيط الخلايا التائية القاتلة، كما فعلت في الفئران. وأشاروا إلى إمكانية تكييف هذه التقنية لعلاج أمراض المناعة الذاتية الأخرى إلى جانب مرض السكري من النوع الأول.

لاستلام اشعارات وعروض من صحيفة "الخليج"